Back to top
Nakada 1

Das Ende der "Sectio Alta"?

Behandlung von großen Blasensteinen durch einen transurethralen Zugang mit LithoClast® Trilogy von Sninsky, Flamiatos und Nakada, University of Wisconsin, USA.

Sninsky BC, Flamiatos JF, Nakada SY, The end of “Cutting for Stone”? Using the lithoclast trilogy for cystolitholapaxy on a 4 cm bladder stone per urethra. Urology Case Reports Vol 26, Sep 2019, 100964,

Der Artikel ist unter einer Creative-Commons-Lizenz frei zugänglich und kann kostenlos genutzt werden: https://doi.org/10.1016/j.eucr.2019.100964

Zusammenfassung der Fallstudie:

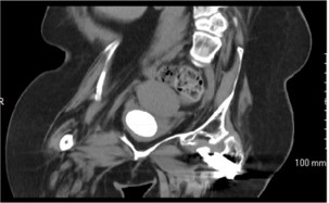
  • Fallbericht über die Behandlung von harten, 4 cm großen, eiförmigen Blasensteinen mit einer Dichte von 1300 HU mit LithoClast® Trilogy 
  • Die Operationszeit betrug 43 Minuten (Aktivierungszeit des Lithotripters nicht angegeben)
  • Geschätztes Räumungsverhältnis für diesen harten Stein: ca. 500 mm3 / min.
Nakada 2

Zusammenfassung:

Wir stellen einen Fall von Zystolitholapaxie mit dem LithoClast® Trilogy Lithotripter-Gerät per Urethra über ein starres 26F Nephroskop bei einer 36-jährigen Frau mit Chondrodysplasie, Querschnittslähmung, Kontrakturen und Blasenvergrößerung in der Vorgeschichte vor, die mit einem sauberen intermittierenden Katheterismus behandelt wurde. Der Stein hatte einen Durchmesser von 4 cm mit durchschnittlich 1300 Hounsfield-Einheiten und bestand aus 45% Kalziumphosphat, 40% Struvit und 15% Ammoniumurat.

Zu den Vorteilen gehören eine kürzere Fragmentierungszeit im Vergleich zum Holmium-Laser, eine höhere Sicherheit bei der Absaugung und eine bessere Sicht, die Möglichkeit, größere Steine endoskopisch zu behandeln, und die Kontrolle aller Variablen durch einen Chirurgen mit nur einem Fußpedal.

Intraoperatives Video verfügbar: https://www.sciencedirect.com/science/article/pii/S2214442019302529?via%3Dihub#ec1

Verwandte Produkte

Verwandte Neuigkeiten